GEZONDHEIDSTESTEN:
17/05/2023: Sperma -> 10cc goed geconcentreerd, goed bewegend met weinig afwijkend gevormde spermacellen
14/06/2023: DNA profiel -> beantwoordt aan de internationale norm ISAG 2006
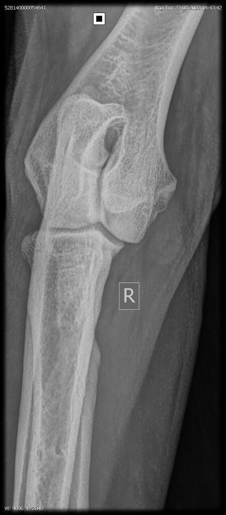
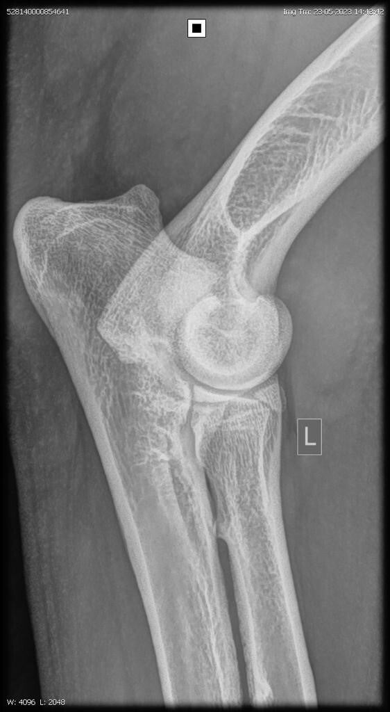
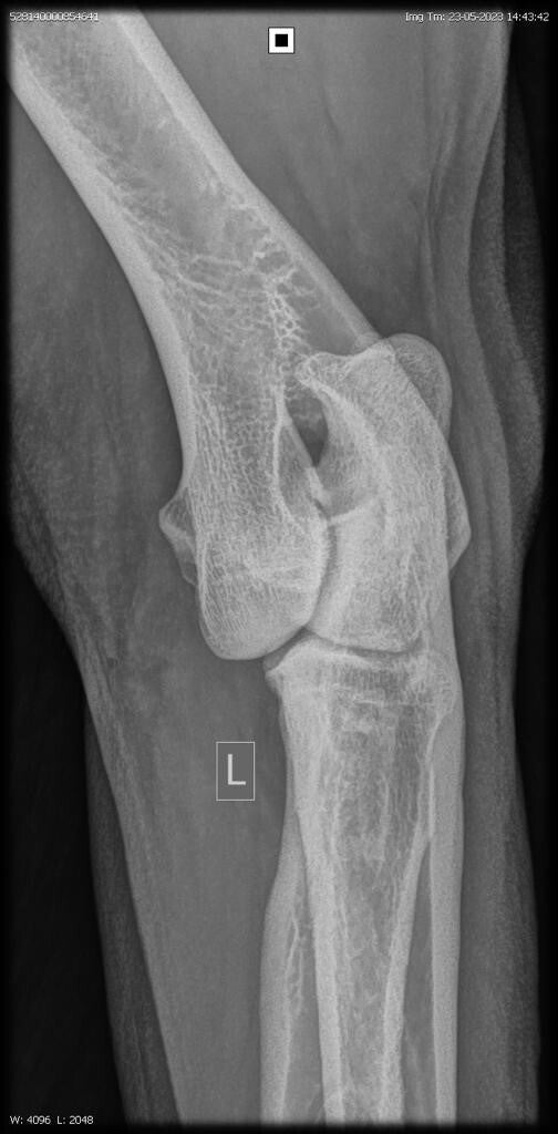
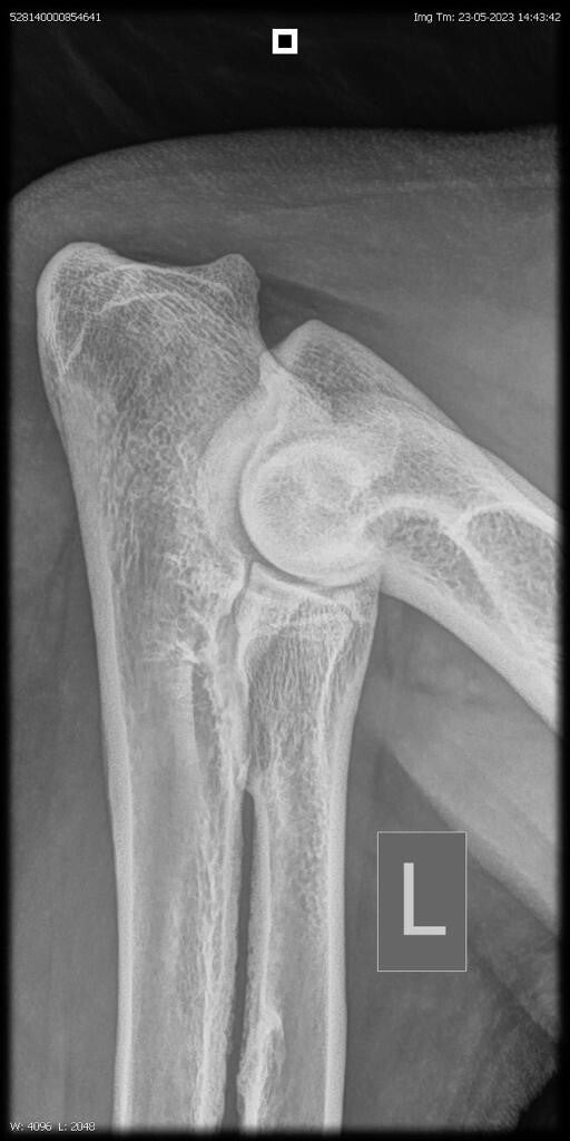
23/06/2023: Röntgenopname ellenbogen + heupen -> geen afwijkingen (heupdysplasie A, ED vrij)
10/07/2023: Hartonderzoek -> geen afwijkingen
25/10/2023: ECVO oogonderzoek -> vertoont geen verschijnselen van erfelijke oogziekte(s)
24/10/2024: Officieel patella luxatie onderzoek -> geen luxatie
 
             
             
             
             
             
             
             
             
             
             
             
            